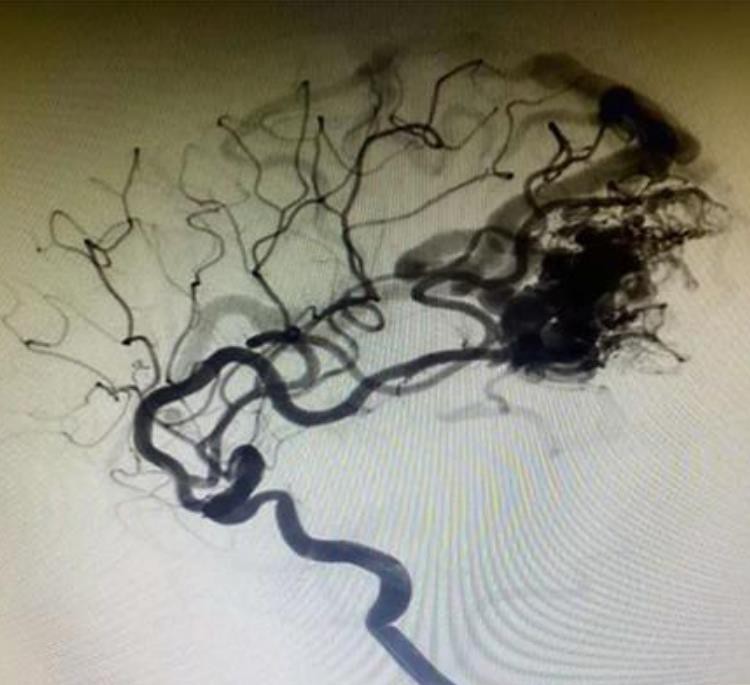
Lava -12 sistema embolico liquido aneurismi intracranici
Quando lavaTmAneurismi intracranici Il sistema embolico liquido sta contattando con il sangue o qualsiasi soluzione acquosa, la sua superficie si solidifica immediatamente e formerà un film protettivo. DMSO nell'agente embolico è diluito e diffuso nel sangue, in modo che la polvere di tantalio avvolta da Evoh sia precipitata e solidificata dall'esterno verso l'interno. Allo stesso tempo, la lava è diffusa in lontananza sotto la pressione di iniezione. Infine, forma un corpo embolico spugnoso nella posizione di embolizzazione.

LavaTmIl sistema di embolizzazione dell'aneurisma è realizzato in materiale non adesivo, quindi è più sicuro e antiaderente il catetere.
È una formula univoca a bassa viscosità con una gamma completa di modelli Lava -12, lava -18 e lava -34.
Ha una migliore dispersione e penetrazione. E può profondamente penetrare nella lesione e raggiungere la nave distale.
La polvere di Tantalum è più fine, più lentamente precipitata e radiografia più chiaramente rispetto ai concorrenti.

Note perAneurismi intracranici Sistema embolico liquido
● Osservare se l'agente embolico liquido di lava si solidifica, in tal caso, deve essere scongelato in primo luogo.
● Metti l'agente embolico liquido di lava sul vibratore.
● Regolare il vibratore a livello elevato.
● Non meno di 20 minuti per scuotere
● fino a quando non viene utilizzato.
|
Codice prodotto |
Viscosità |
Descrizioni |
|
Lava -12 |
12 CST |
Viscosità più bassa, più fluido, per microvasi distali; |
|
Lava -18 |
18 CST |
Formula standard, uso generale; |
|
Lava -34 |
34 CST |
Maggiore viscosità, per vasi ad alto flusso. |











